Blog
Diş macunu seçimi kişiye özel ve hedefe yönelik olmalıdır, kişisel ağız sağlığı ihtiyaçlarına göre tercih yapılmalıdır.Diş hassasiyeti olan kişilerin hassasiyet giderici diş macunu seçmesi gerekir. Sağlıklı bir diş macunu, florür içermeli, düşük aşındırıcılı olmalı, köpürtücü, paraben ve yapay renklendiriciler içermemelidir. Diş minesi ve diş eti sağlığını koruyan, doğal içeriklere sahip, pH değeri 6,5–7,5 aralığında olan ürünler tercih edilmelidir.
İdeal bir diş fırçası düz saplı, küçük başlı, orta sertlikte ve çapraz kıllı olmalı. Böylece fırça kılları dişler arasına girerek daha etkili plak temizliği yapar. Şarjlı diş fırçası ideal bir diş fırçasıdır. Çünkü küçük başlığı sayesinde ağız içerisinde rahat hareket eder, çapraz kılları dişler arasına girerek ve titreşimi sayesinde etkili plak temizliği sağlar.
Guide Cerrahi, dental implantların yerleştirileceği konumu, açıyı ve derinliği önceden bilgisayar ortamında 3 boyutlu (3B) olarak planlayıp, bu planı ameliyat sırasında kullanılan özel bir şablon (rehber) aracılığıyla hastanın ağzına bire bir aktarma işlemidir.
Ağız kokusu, diş eti hastalıkları ve diş kaybının önüne geçmek için düzenli diş taşı temizliğinin neden gerekli olduğunu keşfedin.
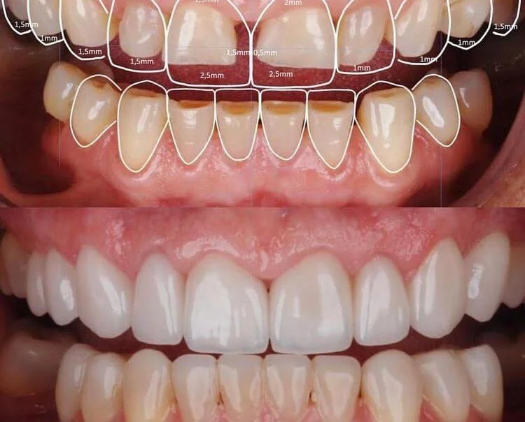
Yüz hatlarınıza ve diş yapınıza özel planlanan gülüş tasarımıyla, doğal ve çekici bir gülüşe sahip olmanın yollarını keşfedin.
Beyazlatma işlemi diş minesine zarar verir mi? Ev tipi beyazlatma güvenli mi? En doğru bilgileri öğrenin.
Kanal tedavinizin uzun ömürlü ve konforlu olması için tedavi sonrası bakımda nelere dikkat etmelisiniz?
Süt dişlerinden kalıcı dişlere geçişte doğru bakımın önemi ve çocuklarda diş hekimi korkusunu yenmenin ipuçları.
Eksik dişlerinizi tamamlamanın en modern yolu olan implant tedavisini, kimlerin tercih edebileceğini ve sürecin nasıl ilerlediğini öğrenin.
Bu web sitesi çerez kullanır
Hizmet kalitemizi artırmak adına internet sitemizde çerezler kullanmaktayız. Detaylı bilgi almak için Çerez Politikamızı inceleyebilirsiniz
Daha Fazla Seçenek
Sadece Zorunlu Çerezler
Seçilenlere İzin Ver
Tümünü kabul et